Federal Heights Family Dentistry

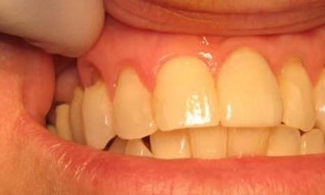
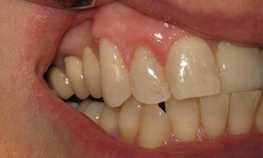
Smile Gallery

Take a peek at our before and after photos.

Improve your smile today – call to schedule a consultation!
My visit with Dr. Yuen went very well

My visit with Dr. Yuen went very well. I had to have oral surgery to remove a tooth. She was very professional and talked me through the surgery. I was very satisfied with the results.

If you have difficulty using our website, please email us or call us at (303) 429-6411
View the ADA Accessibility Statement